• Est 1950
  • |
  • Open till 8pm
down casual day plain arrow down dull plain arrow
Book Online

preserving your natural smile

The Observatory Dental Practice Dentist in Falmouth & Penryn

We believe patients want to eat and smile with confidence throughout their life

90% of the treatment dentists provide is completely preventable. We support you in avoiding preventable treatment using a health-based and prevention-led approach that puts hygienist-led care at the centre of everything we do.

Our Philosophy

Dental Implants, Falmouth Cornwall

Comfortable, fixed dental implants that feel just like natural teeth

Experience the confidence of a natural smile with our expertly crafted, long-lasting fixed solutions for missing teeth, designed for comfort, beauty, and permanence.

Explore

Where here for your Lifelong smiles

Why patients love their experience with us

Real stories. Genuine smiles. Hear how The Observatory Dental Practice has made a difference in the lives of our patients.

View All Testimonials
google white plain icon
star white plain icon

I recently joined this practice and would highly recommend them for fantastic care and service. I hadn’t been to the dentist for around a decade...

Elle

google white plain icon
star white plain icon

This place is mind-blowing. I hadn’t been to the dentist for 9 years. They were very realistic about what I needed and didn’t force any...

Amber

google white plain icon
star white plain icon

I cannot recommend Observatory Dental enough. I have been with them for the last couple of years, and their service is always outstanding. Andrew has...

Georgia

google white plain icon
star white plain icon

I visited The Observatory Dental Practice with my mum, who is hearing and visually impaired. From the moment we stepped into the practice, she was...

Stacey

google white plain icon
star white plain icon

I visited ‘The Observatory’ today for a hygienist appointment with Yana, and I couldn’t be more impressed. The practice has a lovely, welcoming atmosphere, and...

Emily

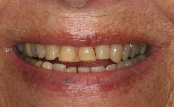
Our smile transformations

See how our treatments create beautiful, confident smiles.

Explore
Smile Makeover before

Before

Smile Makeover after

After

Smile Makeover before

Before

Smile Makeover after

After

Composite Bonding before

Before

Composite Bonding after

After

Porcelain Veneers before

Before

Porcelain Veneers after

After

Braces before

Before

Braces after

After

Cosmetic Dentures

Before

Cosmetic Dentures after

After

Smile Makeover before

Before

Smile Makeover after

After

Smile Makeover before

Before

Smile Makeover after

After

Composite Bonding before

Before

Composite Bonding after

After

Porcelain Veneers before

Before

Porcelain Veneers after

After

Braces before

Before

Braces after

After

Cosmetic Dentures

Before

Cosmetic Dentures after

After

Meet The Team

The team behind your smiles

Andrew Paterson

Practice Founder

Simon Martin

Implantologist

Natalie Dunn

Endodontist

Joshua Whelan

General Dentist

Thomas Bethke

General Dentist

Yana James-Mills

Hygiene Therapist

Hettie Lyall

Hygiene Therapist

Rachael Scott

Hygiene Therapist

Melissa Heath

Head Nurse

Gemma Hughes

Dental Nurse

Bethany Wells

Dental Nurse

Jessica Hewitt

Dental Nurse

Nicole Wedlake

Dental Nurse

Emily McGeorge

Treatment Coordinator

Helen Allbury

Front of House

Michaela Martin

Front of House

Andrew Paterson

Practice Founder

Simon Martin

Implantologist

Natalie Dunn

Endodontist

Joshua Whelan

General Dentist

Thomas Bethke

General Dentist

Yana James-Mills

Hygiene Therapist

Hettie Lyall

Hygiene Therapist

Rachael Scott

Hygiene Therapist

Melissa Heath

Head Nurse

Gemma Hughes

Dental Nurse

Bethany Wells

Dental Nurse

Jessica Hewitt

Dental Nurse

Nicole Wedlake

Dental Nurse

Emily McGeorge

Treatment Coordinator

Helen Allbury

Front of House

Michaela Martin

Front of House
logo casual day plain symbol

About US

Experience 100 years of Falmouth History

  • 1884
  • 1953
  • 2025

Observatory Dental Heritage

The site for the new Observatory on Western Terrace was found and purchased, with the foundation stone laid in a well-attended ceremony.

Explore

Observatory Dental heritage

Rising maintenance costs led to its closure as an observatory, and the building was sold as a private home. It later became a sheltered residence for the elderly, known as an Abbeyfield Society house, before operating as Alexandra’s Respite Home and then as a bed & breakfast in the early 2000s.

Explore

Observatory Dental heritage

Nestled in the heart of Falmouth, our building has transitioned from a 19th-century observatory to a family-run guesthouse and now, a premier dental practice—preserving its historic charm while serving modern healthcare needs.

Explore
about small thumb
about big thumb

New patient journey

At The Observatory, we would love to welcome you to our practice as a new patient. We hope this will be the beginning of a long relationship of caring for your teeth.

Book an Appointment

Contact

Get in touch

The Observatory Dental

Social Media

Join the conversation

Follow us on social media for the latest updates, behind-the-scenes moments, and more.

 The Observatory Dental Practice
 The Observatory Dental Practice
 The Observatory Dental Practice
 The Observatory Dental Practice
 The Observatory Dental Practice
 The Observatory Dental Practice
The Observatory Dental
Google Rating
5.0
Google Rating
Google-review