A dental emergency includes:
- Knocked-out teeth: If a tooth has been dislodged due to an injury.
- Acute tooth pain: Severe, uncontrolled toothaches.
- Infections or swelling: Painful swelling in or around your mouth.
- Uncontrolled bleeding: Any bleeding from the mouth that won’t stop.
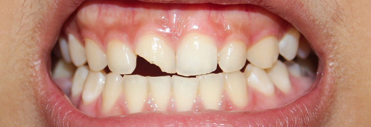
Cracked or chipped teeth are not typically considered an emergency unless you are in severe pain or sharp fragments are lodged in your mouth.

How to get an emergency appointment?
During opening hours, please call the practice immediately on 01326 761 555. Explain your symptoms to a member of our team, and we’ll prioritise getting you a same-day appointment.
Your dentist will address the immediate issue and will discuss and book any further treatment if required.
If you have an emergency outside of our opening hours, please follow the instructions on our out-of-hours telephone service to get the care you need.
An appointment at short notice can provide you with emergency dental care that can potentially save teeth and relieve acute pain.
BOOK THIS TREATMENT
Back to General Dentistry