The Observatory Dental

Smile Gallery

Before & After

Real patients. Real results.

banner shape1
  • Est 1950
  • |
  • Open till 8pm
down casual day plain arrow down dull plain arrow

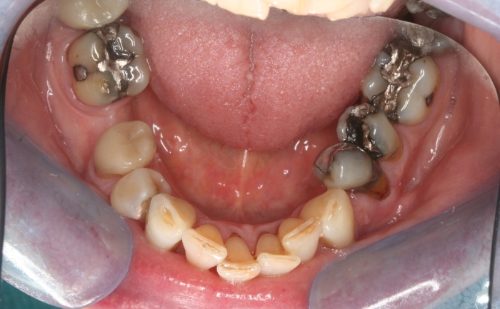
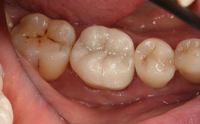
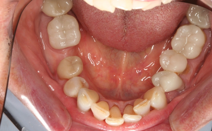
Fillings

Replacing amalgam fillings with a porcelain onlay.

Explore

Amalgam Filling Removal

Results of our amalgam filling removal treatment with replaced white fillings and porcelain onlays.

Explore

Braces

Results of our fixed orthodontic treatment.

Explore

Invisalign®

Results for Invisalign® teeth straightening treatment.

Explore

Cosmetic Dentures

Results of our cobalt chrome denture treatment.

Explore

Why patients love their experience with us

Real stories. Genuine smiles. Hear how The Observatory Dental Practice has made a difference in the lives of our patients.

View All Testimonials
google white plain icon
star white plain icon

I recently joined this practice and would highly recommend them for fantastic care and service. I hadn’t been to the dentist for around a decade...

Elle

google white plain icon
star white plain icon

This place is mind-blowing. I hadn’t been to the dentist for 9 years. They were very realistic about what I needed and didn’t force any...

Amber

google white plain icon
star white plain icon

I cannot recommend Observatory Dental enough. I have been with them for the last couple of years, and their service is always outstanding. Andrew has...

Georgia

google white plain icon
star white plain icon

I visited The Observatory Dental Practice with my mum, who is hearing and visually impaired. From the moment we stepped into the practice, she was...

Stacey

google white plain icon
star white plain icon

I visited ‘The Observatory’ today for a hygienist appointment with Yana, and I couldn’t be more impressed. The practice has a lovely, welcoming atmosphere, and...

Emily

Contact

Get in touch

The Observatory Dental

Social Media

Join the conversation

Follow us on social media for the latest updates, behind-the-scenes moments, and more.

 The Observatory Dental Practice
 The Observatory Dental Practice
 The Observatory Dental Practice
 The Observatory Dental Practice
 The Observatory Dental Practice
 The Observatory Dental Practice
The Observatory Dental
Google Rating
5.0
Google Rating
Google-review